Nearing the end of a three-month pregnancy, Fifi the northern death adder has just weeks to go before she gives birth to the 12 little lethal babies inside her. The image is not an ophidiophobe’s nightmare, but a veterinarian’s worry.
Most snakes hatch from eggs, but death adders give birth to a litter of live offspring. That’s why Fifi was the first snake at Australia’s Featherdale Wildlife Park to undergo an ultrasound. “Pregnant snakes become noticeably swollen around the middle of the body,” says Chad Staples, senior curator at Featherdale, where Fifi lives. “As they get closer to the due date, they lie on their backs to keep their tummy warm, and stay very still to conserve their energy for the birth. Right now she’s not moving very much. She looks pretty over it.”
Staples has been monitoring Fifi throughout her pregnancy and will collect her blind, two-inch-long babies when they are born to move them into their own enclosures. The tiny creatures will grow up to be some of the most venomous snakes in the world and measure up to 1 meter in length. Their poison contains a neurotoxin that can paralyze breathing and cause death. They can reportedly also deliver the fastest strike among all venomous snakes in Australia. But the reptiles neither eat nor drink until the first time they shed their skin.
Humans are stepping in to help the snakes like Fifi and her brood survive in a tough world.
“There’s not all that much maternal care involved in being a mommy snake. She’ll just head off on her own and we’ll collect up the babies to keep them warm,” says Staples. “In captivity, it’s not unusual to get 100 percent survival of a litter of snakes. In the wild, the survival rates are much lower.”
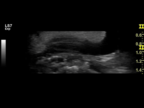
Fifi is part of a program aimed at understanding more about reptiles’ breeding cycles at Featherdale, where she went through an ultrasound exam last November. Staples and other park staff have used ultrasound to follow her health since before the baby snakes were conceived.

Quit Wriggling: Fifi’s ultrasound.
Fiona Mildren, an imaging and ultrasound manager at GE Healthcare Systems, has been on hand to help administer the technology even though she an ophidiophobe – afraid of snakes – herself. “It was really interesting to see that snake ovaries look a lot like human ovaries in an ultrasound,” Mildren says. “In fact, sometimes while I was doing the ultrasound I’d even forget that she was a snake – until she wriggled, that is.”
Fifi was caged with a male death adder over the hottest part of summer, and Mildren was delighted to see the tiny flicker of baby-snake heartbeats when she got scanned a few months later.
“We’re amazed by how much we can see thanks to this ultrasound technology,” Staples says. “This is the first time we’ve been able to know with 100 percent certainty that a snake is pregnant, and that has given us the opportunity to prepare for the birth well in advance.”