Skip to main content
×

GE.com has been updated to serve our three go-forward companies.

Please visit these standalone sites for more information

GE Aerospace | GE Vernova | GE HealthCare 

header-image
Medical Imaging

Seeing With Sound: From Bats and Submarines to AI-Powered Medical Imaging

Liza Smith
January 18, 2018
The Italian priest and scientist Lazzaro Spallanzani ran a series of experiments in the 1790s and discovered that blindfolded bats were able to find their way around and catch flies. Yet, when he took off the blindfolds and covered the bats’ ears, they were hopeless. This puzzling finding inspired his colleague, the Swiss surgeon Louis Jurine, to focus on the ears as the seat of bats’ “vision.”
Spallanzani and Jurine shared their notes but were ultimately left scratching their heads. They couldn’t understand how the animals pulled off this trick. It wasn’t until 1938 that Donald Griffin and Robert Galambos discovered the physics behind echolocation — the idea of emitting sounds inaudible to humans and listening to their reflections to make sense of the environment. Today, that natural principle is the basis of many modern technologies. Sonar allows submarines to avoid collisions and find targets, radar guides planes in the air, lidar helps self-driving cars “see” the road, and ultrasound assists doctors in saving lives.

 width= Above: Ana Paula Silveira and Alvaro Zermiani are both legally blind. But they were able to touch the face of their son, Davi, when he still in his mother's womb. Ana Paula's doctor used data from GE's Voluson E10 machine to 3D print the fetus. Image credit: Ana Paula Silveira and Alvaro Zermiani. Top: An image captured by the Voluson E10 machine. Image credit: GE Healthcare.

Before ultrasound — it was first used for clinical purposes in 1956 — doctors did not always have a safe and reliable way to see what was happening inside the womb during pregnancy. The placenta, for example, is a critically important health indicator for mother and child. But its location was difficult to pin down, leading doctors to prescribe weeks of bedrest to otherwise healthy mothers.

Today, clinicians use the technology to see the human body in incredible ways. Gone are the grainy images most expectant parents carried in their wallets as recently as five years ago. The latest machines like the Voluson E10 from GE Healthcare can produce images in 4D — three spatial dimensions plus time. They can also export data to a 3D printer to enhance conversations around surgical planning, or allow blind parents to “meet” their child.

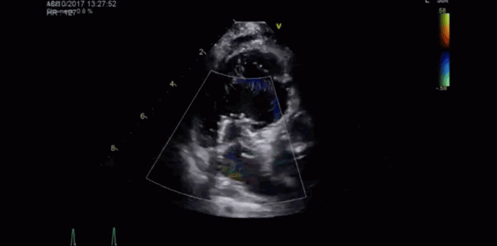
Other ultrasound systems can visualize blood flow as it moves through the hearts of the tiniest patients, down to the blood cells. Other devices, like the Vscan Extend, which fits into a physician’s pocket, help doctors diagnose and treat patients in remote areas far from medical centers.

GE Healthcare is also integrating machine learning and artificial intelligence into ultrasound imaging in one of its most recent devices, called Venue. Take a look at the evolution of ultrasound in OB/GYN over the last six decades.

 width= Software from GE Healthcare enabled Dr. Ferran Rosés i Noguer and his team to enhance ultrasound images and track blood cells as they traveled through the heart. GIF credits: Dr. Ferran Rosés i Noguer.

 width= A fetal hand at 29 weeks. Image credit: GE Healthcare.

 width= The fetus at 14 weeks. Image credit: GE Healthcare.

 width= The fetus at 38 weeks. Images credit: GE Healthcare.

A version of this story originally appeared in GE Healthcare's Pulse blog.