Skip to main content
×

GE.com has been updated to serve our three go-forward companies.

Please visit these standalone sites for more information

GE Aerospace | GE Vernova | GE HealthCare 

header-image
Medical Imaging

A Picture-Perfect Partnership: GE Imaging Technology Is Helping University of Wisconsin – Madison Improve Research, Save Lives

Mckenna Bryant
Dorothy Pomerantz
October 31, 2018
When Elizabeth Korosec started suffering dizzy spells, she and her husband, Frank, drove to the emergency room at their local hospital in Madison, Wisconsin. Once there, doctors quickly agreed she needed a magnetic resonance (MR) scan.
Luckily for the Korosecs, the hospital was using a new vascular imaging method that allowed doctors to track her blood flow during the scan, a technique that had been much discussed in the couple’s home. That’s because Frank Korosec, at the time a graduate student in the medical physics department of the University of Wisconsin (UW) – Madison, had developed the method for his graduate thesis. “I knew they were using my method on patients, but I never knew that my wife would be one of those patients,” Frank Korosec says.

The scan showed that Elizabeth had a tear in her vertebral artery, which is in the neck and feeds blood to the brain. The tear was healing, but the process had caused a blockage in the vessel — hence the dizziness. She was immediately admitted to the hospital and put on blood thinners. Over time, she has made a full recovery.

Since then, Frank Korosec has refined the vascular imaging methods into an approach called Time Resolved Imaging of Contrast Kinetics, or TRICKS. This technique takes 3D images over a set period after the patient is injected with a contrast agent. The contrast agent takes time to move through the patient’s circulatory system, and the time varies based on the patient's age and heath. But TRICKS takes the guesswork out of timing so the clinician can identify the vessel with the strongest MR signal. Clinicians can monitor the actual flow through the vessels to identify a possible blockage.

The research was just one chapter of a three-decade partnership between GE and UW that helped get TRICKS into GE scanners around the world. Korosec, now a professor of radiology and section chief of Imaging Sciences in the Department of Radiology at UW, has been an instrumental part of the relationship.

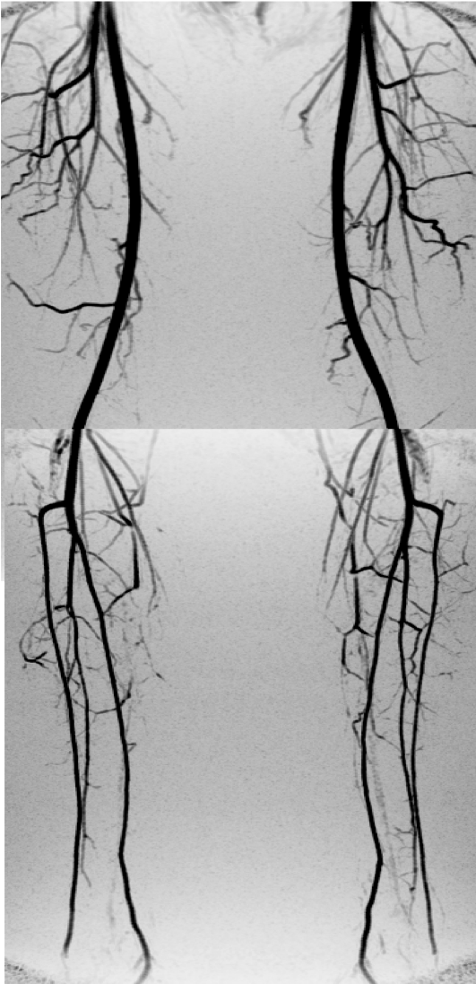
 width= Top image: An MR image of the upper body using an approach called Time Resolved Imaging of Contrast Kinetics, or TRICKS, and GE’s new Air Coil technology, a lightweight blanket-like coil that conforms to the patient’s body to deliver improved images. Above: A TRICKS image of the vascular system. Images credit: GE Healthcare/University of Wisconsin-Madison.

Korosec helped negotiate the latest 10-year agreement between GE and UW (finalized in 2012), which gives UW’s radiology and medical physics researchers access to GE’s newest computed tomography (CT), positron emission tomography (PET) and MR scanners. “It’s the way to advance medical imaging,” Korosec says. “Together, we’re making improvements that are much more beneficial than if either side worked alone.”

The partnership works well for both parties. For example, feedback from UW researchers helped GE refine its latest MR scanner, called SIGNA Premier. When SIGNA Premier was under development, GE placed a "pre-product" version of the system at UW. That let university researchers conduct neurological, liver, body, cardiac, prostate and breast MR studies on real patients, feats that are challenging for GE in a factory setting.

“They really went above and beyond,” says Jason Polzin, general manager for applications and workflow for the global MR business at GE Healthcare and a UW alumnus. “They provided us really good feedback in terms of what features and capabilities showed clinical benefits and where there were also opportunities for improvement.”

For example, UW feedback helped refine GE’s new Air Coil technology, a lightweight blanket-like coil that conforms to the patient’s body to deliver improved images. UW researchers have also used the SIGNA Premier for their latest neurological research mapping the brain’s complete structural and functional neural connections.

In June 2018, GE installed a second SIGNA Premier system at UW’s Wisconsin Institutes for Medical Research to be used solely for research. The scanner is wider, so researchers can, for instance, measure liver fat in obese patients and study blood flow to better understand how the placenta develops during pregnancy. Another group will use the machine to study the causes of Alzheimer’s disease and potential treatments by repeatedly scanning patients and monitoring changes.

UW researchers are also working with GE’s new PET/MR technology, which combines two systems to examine soft tissue and provide a deeper look at cells. The combination helps researchers get more information about tumors or diseases than they could from MR or PET scans alone. Korosec says GE and UW are discussing how to best use PET/MR technology in clinical applications and how artificial intelligence (AI) can further improve imaging.

Ultimately, he says, it’s all about helping patients like his wife. “By working together, you’re getting the best of both sides,” Korosec says. “And that’s what advances medicine and provides the best possible technology for patients.”