Skip to main content
×

GE.com has been updated to serve our three go-forward companies.

Please visit these standalone sites for more information

GE Aerospace | GE Vernova | GE HealthCare 

header-image

Here’s Looking At You, Kid: A High-Tech Ultrasound Opens New Vistas For This Veteran Physician

Mckenna Bryant
November 27, 2017
When Dr. Lawrence Platt started his career as an obstetrician and gynecologist 40 years ago, he was fascinated by ultrasound technology. Each time he scanned a patient, he created a grainy black-and-white image of the baby, then drew a picture on top of the ultrasound to help the parents-to-be understand what they were seeing. “For me, an ultrasound is like the Lay’s commercial: I bet you can’t scan just one,” he says.
He certainly doesn’t. Dr. Platt, who calls his work a “labor of love,” cares for mothers and infants during high-risk pregnancies at the Center for Fetal Medicine & Women’s Ultrasound in Los Angeles. He treats women for a variety of pregnancy complications due to pre-existing maternal medical conditions or obstetrical issues, with a focus on using ultrasound in fetal assessment.

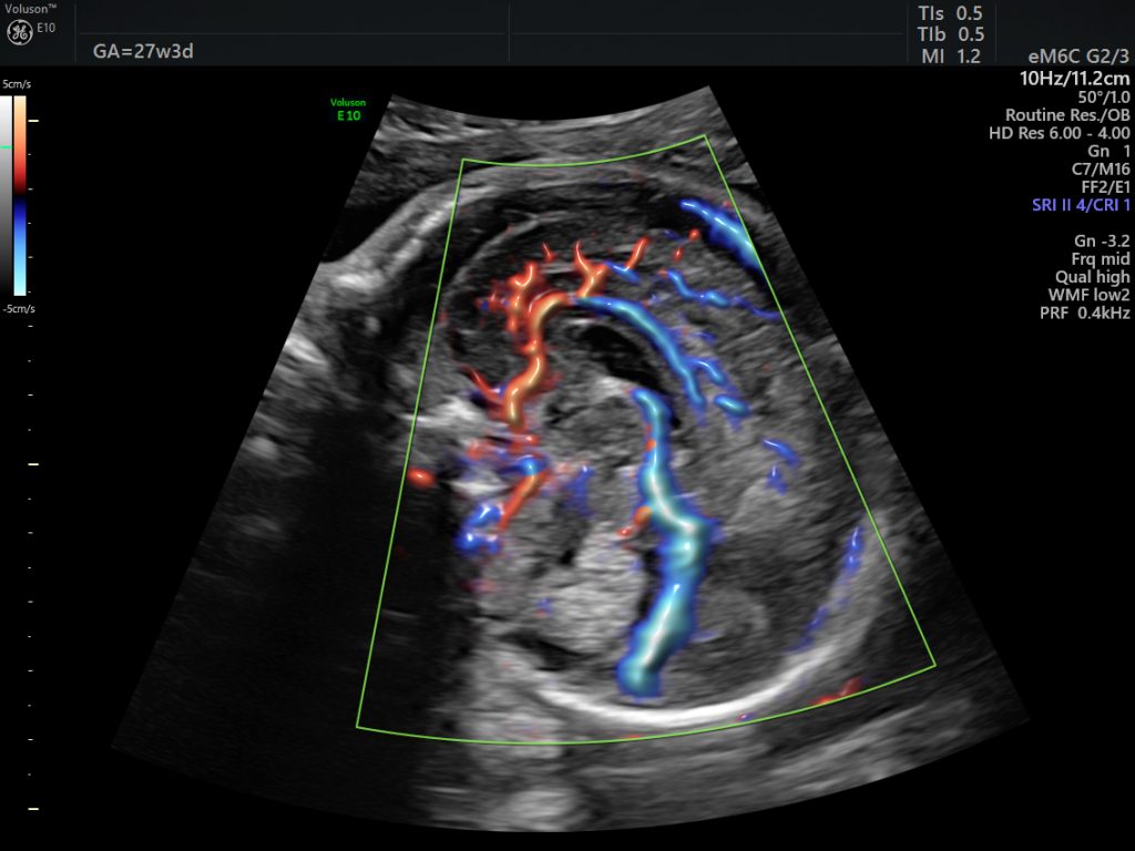
The Center for Fetal Medicine serves about 10,000 patients every year for ultrasound and prenatal diagnosis, genetic counseling and high-risk obstetrical consultation. Dr. Platt recently has been using the latest version of GE’s Voluson E10 ultrasound machine to improve imaging for his patients. “When you want to get a higher quality and get as much information as you can possibly can, we go to the E10,” he says. “It’s a very powerful tool that comes with improved diagnostic capabilities for improved care of the patient.”

The Voluson E10, is also the first ultrasound system in the OB/GYN field with built-in 3D-printing capability. Doctors can use it to help parents better understand congenital defects such as cleft lips, abnormal extremities or abdominal wall defects. In some cases, 3D printing can enhance discussions about surgical planning and serve as an educational tool.

GE Healthcare brought the machine to the annual meeting of the Radiological Society of North America (RSNA), the world’s largest gathering for radiologists and other medical professionals, which is taking place this week in Chicago.

 width= Above: The fetus at 12 weeks. Top image: The fetus at 38 weeks. Images credit: GE Healthcare.

The system gives Dr. Platt better views of the cardiovascular system, the heart, as well as other fetal organ structures. The key to the clear images are 2D imaging transducers — the “wands” doctors pass over pregnant women’s bellies. “It provides unbelievable imaging in the first, second and third trimesters,” he says.

Clearer images allow him to see “subtle changes in the fetus,” he says. “If you identify those things earlier, it gives us more options to do something about it.”

Dr. Platt also uses the ultrasound system for gynecological studies, including imaging masses, ovaries, cysts and cancers. “This system is giving the patient their best shot,” he says. “It allows a clinician to integrate their clinical care with the most advanced imaging to make a proper diagnosis. Because we want the best for everybody, don’t we?”

 width= The fetus at 14 weeks. Image credit: GE Healthcare.

After four decades, he has seen thousands of patients and performed thousands of ultrasounds in his practice. The days of drawing on his fuzzy ultrasound pictures are long gone. “Now I use ultrasound to show patients what my drawings are,” he says with a laugh.

Former patients often return with their adult daughters who are pregnant and starting families of their own. “These patients bring in the black-and-white 2D ultrasound pictures that I gave them 30 or 40 years ago,” he says. “I love to show them the new generation of ultrasound; it’s just remarkable.”

GE also benefits from the partnership. Peter Falkensammer, product manager for GE’s Women’s Health Ultrasound unit, says that working with physicians like Dr. Platt enables his team to enrich product development. “This invaluable feedback helps us to provide the best care possible for clinicians and their patients around the world,” he says.

A version of this story originally appeared on GE Healthcare’s The Pulse.

 width= The fetal spine at 23 weeks. Image credit: GE Healthcare.

 width= The fetus at 24 weeks. Image credit: GE Healthcare.

 width= Fetal brain at 27 weeks. Image credit: GE Healthcare.

 width= Fetal hand at 29 weeks. Image credit: GE Healthcare.