Skip to main content
×

GE.com has been updated to serve our three go-forward companies.

Please visit these standalone sites for more information

GE Aerospace | GE Vernova | GE HealthCare 

header-image

Curing chlamydia in an Aussie icon

May 22, 2014
Discover how ultrasound technology can help with early diagnosis of koala chlamydia.
From the flat dry plains around the town of Gunnedah to wildlife parks in suburban Sydney, there is one surprising disease putting our entire koala population at risk. Chlamydia, commonly known as a sexually transmitted human infection, is hitting our koala population hard.

Chlamydia poses such a threat to the koala population that vets, biologists, radiographers and curators around the country are working together to track down the causes and possible cures for the disease.
So what exactly is koala chlamydia? It is infectious illness chlamydial urogenital tract disease. In some parts of the country up to 90 per cent of the koala population is infected with the disease. Chlamydia impacts koalas regardless of their habitat - whether they live in the wild or in a zoo.

Like human chlamydia, koala chlamydia can be treated. The problem is that it is difficult to diagnose.

 /><br />
<br />
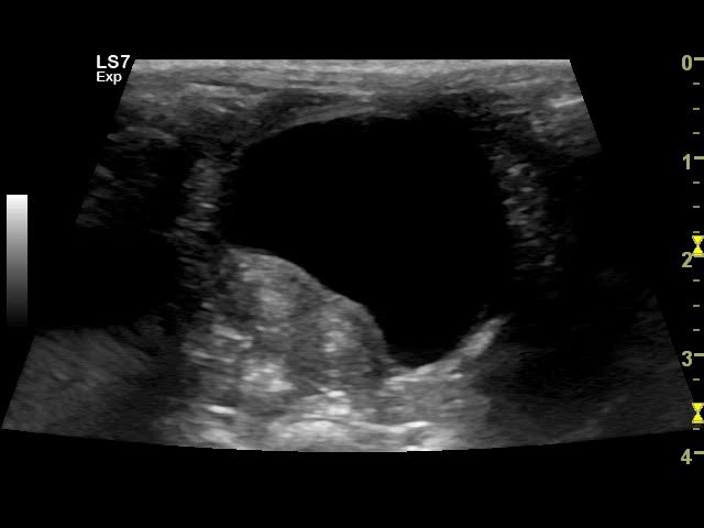
<em>An ultrasound showing a koala's healthy bladder and uterus. Good news, Willow is chlamydia free. </em><br />
<br />
As a result, koalas can live with the disease undetected for long periods of time, causing serious damage. If left untreated, chlamydia can cause blindness, and it can also damage a koala’s ability to have joeys.<br />
<br />
In North Western NSW, the area around the town of Gunnedah is home to the largest population of koalas in the state. It has also become the focal point of a landmark study aimed at saving this threatened species.<br />
<br />
Dr Matthew Crowther, research leader and Senior Lecturer in Biological Sciences at the University of Sydney is working with a team of scientists to uncover some fascinating insights into koala behaviour (<a href=read the full interview), eating habits and movements. During the study his team discovered the koala population was not as healthy as first thought.

Swabs taken from the animals in the study tested positive for koala chlamydia, in spite of the fact it was not initially considered prevalent in the Gunnedah area.
“Although the koalas weren’t showing any outward signs of chlamydia, a lot of them were actually carrying the disease,” says Dr Crowther. “We couldn’t do anything about it, to treat the chlamydia we’d need to keep the koalas in captivity for a couple of weeks and put them on antibiotics, and we can’t do that to the whole wild population.”

According to Crowther, what is needed is a way to test for and treat koala chlamydia in a single shot, while the animal is under anaesthetic.

“The current methods of treating chlamydia just don’t work in the wild,” says Dr Crowther.

In captivity, vets and zookeepers are able to test the koalas more frequently and track any signs or symptoms that may be the result of infection.

Fiona Mildren, clinical marketing manager for general imaging ultrasound for GE Healthcare Systems, has been working closely with the Featherdale Wildlife Park in Sydney to help identify and treat koala chlamydia amongst the park’s koala population.

“It turns out that koalas look remarkably like humans when you put them under an ultrasound,” says Mildren. “In koalas with chlamydia you see a thickening of the bladder wall, similar to what you see people when they have a urinary tract infection.”

A koala ultrasound in action. Willow is being checked for signs of chlamydia.

Mildren works closely with Chad Staples, senior curator at Featherdale and a team of experts at the park to help diagnose koalas before they develop external symptoms. For Chad’s team, the ability to diagnose the koalas before they develop external symptoms enables the park’s vets to treat the animals and stem the spread of the disease.

The hardest part of scanning a koala, according to Mildren, is trying to get them to keep still to access the right part of the body. It is a painless and easy procedure and keepers are actually working on developing a special perch to make the scan less intrusive, as well as looking to develop tests that can be carried out faster and with less intervention.
A recent study published in the journal of the Australian Veterinary Association supports the approach being used at Featherdale, suggesting that ultrasonography can be an effective tool for diagnosing the disease before the outward signs become apparent.

“What we learn about preventing or treating diseases will ultimately also help the populations in the wild,” says Staples. “If we’re not careful koalas will become extinct, so the more we can learn about how to treat and prevent threats like chlamydia, the more chance we have to save them.”

Under the microscope


Want to know more about koala chlamydia? We’ve asked the experts.


The technical term for koala chlamydia is chlamydial urogenital tract disease. It is caused by two pathogens, chlamydia pecorum and chlamydia pneumonia, which infect the conjunctiva (eyelids), urinary and reproductive tract of koalas.


In human populations chlamydia pneumonia is associated with the flu. In koalas it causes keratoconjunctivitis, which causes inflammation in koala eyelids. It can cause blindness. If it infects the koala’s genitalia it can lead to severe urogenital tract conditions causing cysts and blockages in the uterine tubes and ovarian region, ultimately leaving the koala infertile.


The pathogens which cause koala chlamydia are closely related to the chlamydia trachomatis pathogen which causes human chlamydia, and the eye disease trachoma. Unlike human chlamydia, there is no evidence that koala chlamydia is spread solely through sexual intercourse, as the disease is viable outside the reproductive tract.